Un medic infectat cu COVID-19 a dezvăluit ce simptome a avut în fiecare zi de la diagnosticare

Medic infectat
Medic infectat

Doctorul a împărtășit pe rețelele de socializare prin ce trece de când a fost diagnosticat cu COVID-19 în timp ce își trata pacienții.

Un doctor din Spania infectat cu coronavirus și-a prezentat simptomele, pe internet, pentru a le arăta tuturor că nu este deloc de glumit cu COVID-19.

Medicul a arătat și cum i-a afectat temutul virus plămânii în numai câteva zile, dar și de decizie a luat atunci când a aflat că este infectat.

În vârstă de 35 de ani, medicul Yale Tung Chen a aflat că are COVID-19 în timp ce își trata pacienții la Spitalul Universitar „La Paz” din Madrid.

Citeste si: După coronavirus vine apocalipsa economică! Cristian Sima: ”Va fi criză, băncile vor crăpa, va fi măcel”

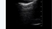
În plus, pentru a arăta cât de gravă este situația, medicul Chen a postat și footgrafii ale plămânilor săi.

Medic infectat
Medic infectat

„Ziua 1 după ce am fost diagnosticat cu COVID-19. Durere în gât, durere de cap puternică, tuse seacă, dar fără dificultate respiratorie.

Fără anormalități la plămâni, la ecografie”, a scris el, în primul astfel de mesaj.

Citeste si: Un roman din Italia a murit din pricina coronavirusului

În cea de-a doua zi de autoizolare, medicul a scris: „Ziua 2 după ce am fost diagnosticat cu COVID-19. Durere mai slabă în gât, tuse și durere de cap, fără dificultăți respiratorii sau durere în piept”.

Însă, medicul a precizat că a început să observe schimbări în plămânii săi, precum linia pleurală îngroșată.

Medic infectat
Medic infectat

În cea de-a treia zi de la diagnosticul COVID-19, medicul a scris că nu mai avea durere în gât ori durere de cap. A fost chinuit de tuse, fără dificultate în respirație sau durere în piept. „A început diareea, tusea a început să mă lase. Aceleași modificări la plămâni”, a mai scris el.

Medic infectat
Medic infectat

„Ziua 4 după diagnosticul de coronavirus. Mai multă tuse și foarte multă oboseală. Fără dispnee sau durere în piept”, a mai scris el, arătând alte modificări mici la plămânii săi.

Medicul și-a dat afară familia, pentru a-i feri pe cei dragi

Medicul a mai spus că după ce familia lui a fost testată negativ cu coronavirus, i-a determinat pe cei dragi să părăsească locuința și să îl lase singur în carantină.

„I-am dat afară pe toți. Au plecat la rude. Acum am toată casa pentru mine – ceea ce este minunat, că am tot spațiul la dispoziție”, a spus el.

 



Citește și:

Tapioca: ce este și cum poate fi utilizată în bucătărie

ȘOCANT! Coronavirusul nu a pornit din Wuhan. Tot ce trebuie să știi despre coronavirus. Vezi cum te poți apăra de virusul fatal!

Reacția mamei, înainte ca fiica să fie eutanasiată. Cuvintele ei...

Mister tot mai mare în cazul fetițelor din Mureș! Ce au spus Rebeca și Melisa în fața psihologului și de ce a fost sesizată Protecția Copilului

Noua avocată a mamei Ludmilei Vartic aruncă BOMBA în cazul din Hîncești și cere anchetă totală, nu una de fațadă. CE A SCOS LA IVEALĂ: "Duce la influențarea martorilor. Ei merg pe faza de suicid, dar..."

VIDEO A fost sau nu vorba de infidelitate în căsnicia dintre Valentin Sanfira și Codruța Filip? Lavinia Tîrzianu a rupt tăcerea: „Dacă poposim un pic la subiectul înşelatului, țin minte foarte bine.”

Rezumat episodul 3 „Ai nimănui”, difuzat în 1 aprilie 2026 la Kanal D: Balim este în pericol după ce clădirea în care se află ia foc. Vor reuși sau nu frații săi să o salvez la timp

Vladimir Plahotniuc, arest preventiv prelungit cu 30 de zile! Ce acuzații grave i se aduc


Video
Clipul zilei pe kfetele.ro
Cookies